DEPARTMENT OF SHALAKYA TANTRA

DEPARTMENT OF SHALAKYA TANTRA (Eye & ENT)

Specialties:-

Endoscopy

A minimally invasive procedure to examine and diagnose issues in the ear, nose, and throat using a thin, flexible scope.

Separate Ophthalmic Unit

A specialized unit for comprehensive eye exams and diagnosis of ocular conditions.

Netra Tarpana

A rejuvenating Ayurvedic therapy that nourishes and strengthens the eyes by bathing them in medicated ghee.

Nasya

An Ayurvedic therapy where herbal oils are administered through the nose to cleanse and treat conditions related to the head and neck.

Hair Fall & Premature Greying of Hair

A holistic Ayurvedic approach to nourish hair, prevent hair loss, and delay premature greying.

Conjunctivitis

An inflammation or infection of the eye’s conjunctiva, causing redness, irritation, and discharge, commonly known as “pink eye.”

Pterygium

A benign growth on the eye’s conjunctiva that can extend onto the cornea, often caused by exposure to UV light or environmental irritants.

Headache or Migraine

Recurring pain or throbbing in the head, often triggered by stress, diet, or environmental factors.

Vertigo or Giddiness

A sensation of spinning or dizziness, usually caused by inner ear problems or neurological conditions.

Tinnitus

A persistent ringing or buzzing sound in the ears, often linked to hearing loss or ear damage.

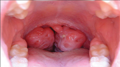
Tonsillitis

Inflammation of the tonsils and other throat conditions causing pain and swallowing difficulties.

Otorrhoea (Ear Discharge)

Conditions involving ear discharge, perforation, or infections affecting hearing and balance.

Hoarseness of voice

Voice changes caused by inflammation, vocal cord strain, or other throat disorders.

Speech Therapy and Hearing Aid facilities are available.